Informationen auf einen Blick
Prostata MRT Hamburg
Wann sollte eine Prostata MRT in Hamburg durchgeführt werden?
Eine Prostata MRT ist dann empfehlenswert, wenn bei Ihnen ein erhöhter PSA-Wert festgestellt wurde. Gleichzeitig bietet sich eine Magnetresonanztomographie der Prostata auch als Vorsorgeuntersuchung an, um eventuell unauffällige Karzinome frühzeitig zu erkennen. Wenn bereits gesichert ist, dass ein Karzinom vorhanden ist, kann eine Prostata MRT in Hamburg dabei helfen, die Ausdehnung des Karzinoms zu beurteilen.
Was kostet eine Prostata MRT in Hamburg?
Die Kosten für eine Prostata MRT hier bei uns in Hamburg rechnen wir nach den Ziffern der Gebührenordnung für Ärzte (GOÄ) ab. Gerne senden wir Ihnen vorab einen Kostenvoranschlag zur Klärung der Erstattung mit Ihrer Krankenversicherung. Bei einem persönlichen Gespräch gehen wir auf Wunsch auch detailliert auf Abläufe und Kosten der Untersuchung ein.
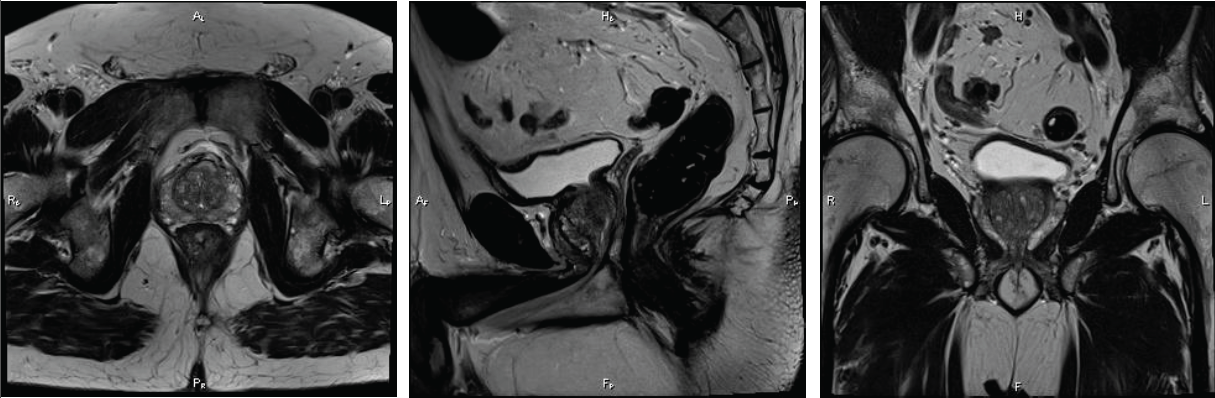
Welches Verfahren wenden Sie für eine Prostata MRT in Hamburg an?
Für eine exakte Prostata MRT in Hamburg setzen wir auf eine multiparametrische MRT-Bildgebung mit einem 3 Tesla MRT. Multiparametrisch bedeutet, dass nicht nur die Form und Größe der Prostata erfasst wird, sondern auch Gewebscharakteristika erfasst werden. So kann unter anderem durch Zugabe eines Kontrastmittels auch die Durchblutung eines Areals analysiert werden. Auf diese Weise entstehen sehr detailreiche Aufnahmen, die Aufschlüsse über mögliche Karzinome etc. zulassen.
Ist eine Prostata MRT in Hamburg eine Alternative zur Biopsie?
In manchen Fällen ist dies möglich. So wird eine Biopsie häufig in Folge eines erhöhten PSA-Werts angeordnet. Neben einem bösartigen Karzinom können jedoch auch eine vergrößerte Prostata oder eine Entzündung den PSA-Wert beeinflussen. In solchen Fällen wäre eine Biopsie also nicht erforderlich. Mit einer multiparametrischen Prostata MRT in Hamburg lässt sich gezielt ermitteln, ob ein Prostatakarzinom vorliegt. Dank der exakten Bildgebung können nachträglich noch erforderliche Biopsien zudem wesentlich präziser durchgeführt werden.
Wie lange dauert eine Prostata MRT in Hamburg?
Erfahrungsgemäß dauert eine Prostata MRT hier in unserer Praxis in Hamburg zwischen 20 – 30 Minuten. Während der Untersuchung befinden Sie sich in bequemer Rückenlage und müssen sonst nichts weiter tun. Nach Beendigung der Untersuchung erhalten Sie von uns einen detaillierten schriftlichen Befund gemäß der PI-RADS-Klassifikation, den Sie Ihrem Urologen zur weiteren Behandlung vorlegen können.


